Igiene orale
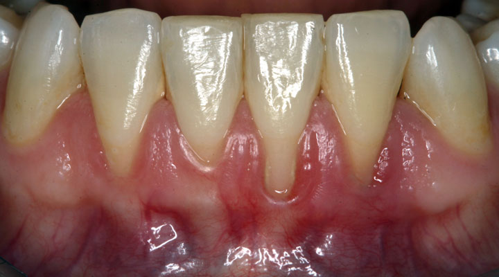
La prevenzione e il trattamento delle patologie del cavo orale sono la chiave per il mantenimento della salute orale del paziente. Le scrupolose manovre di igiene orale professionale e l’ausilio delle più moderne attrezzature tra cui quelle che sfruttano delicate polveri (GBT), rendono meno fastidioso anche il trattamento dei casi più complessi. Lo studio offre anche trattamenti personalizzati di sbiancamento dentale, di desensibilizzazione e di ozonoterapia per la cura di afte ed herpes orali.




